

Age/sex: 69-year-old male
Size: 26.1 x 9.3 x 5.6 cm
The specimen consists of a kidney (which is normal) and ureter. The latter has been opened to show numerous, slightly elevated, grey or brown nodules (arrows) on its inner surface.
Ureteritis cystica
This is an uncommon abnormality first described by Giovanni Morgagni in 1761. It can develop anywhere in the epithelium of the genitourinary tract, including the urinary bladder (cystitis cystica) and renal pelvis (pyelitis cystica). Its cause is uncertain, but it has been speculated to be related to chronic inflammation. It is thought that small portions of the lining epithelium are somehow “pinched off” by the inflammatory process and develop into mucosal cysts that project into the lumen and enlarge.
The condition usually causes no symptoms and is often discovered during investigation of recurrent urinary tract infection or urolithiasis (urinary tract stones).
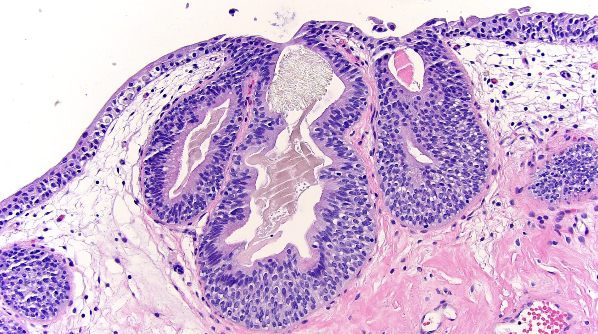
Below: Ureteral mucosa showing early cyst formation.
Source: Cystitis glandularis. Histology image. From “Bladder, ureter, and renal pelvis,” by L Durowoju and M Tretiakova. (2020), PathologyOutlines.com. https:// www.pathologyoutlines.com/topic/bladdercystitiscystica.html
